2026-03-27
By admin
Lynch syndrome, an autosomal dominant disorder from germline changes in DNA mismatch repair (MMR) genes, stands as the main reason for inherited colorectal cancer (CRC). Even with its importance in clinics, many cases of Lynch syndrome stay undetected. This leads to lost chances for early action and family checks. Guidelines from groups like NCCN and ESMO now push for routine checks on all new CRC and endometrial cancer cases. They suggest using Immunohistochemistry (IHC) or Microsatellite Instability (MSI) testing.

As a top maker of pathology tools, Celnovte works to close the divide between tough diagnostic needs and lab speed. We pair strong reagents with modern automation. In this way, clinical labs can give correct, steady, and quick results in the battle against inherited cancers.
Lynch syndrome makes up about 3% of all colorectal cancer cases. Finding these patients goes beyond basic diagnosis. It serves as a vital step for public health.
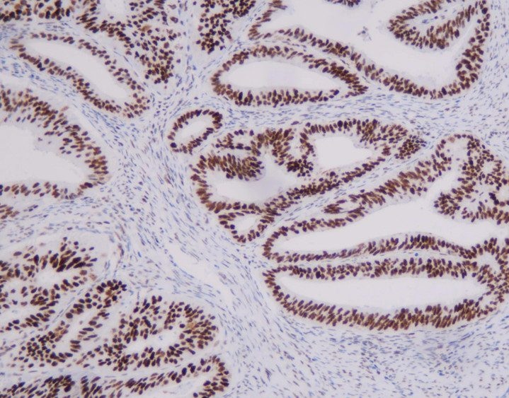
The change to routine screening comes from proof that old clinical rules, like the Amsterdam II criteria or Bethesda guidelines, miss up to 25% of Lynch syndrome patients. Studies point out that MMR-lacking (dMMR) tumors show distinct behaviors in patients. For instance, they offer better outcomes in early CRC stages but weaker responses to standard 5-FU chemotherapy. Plus, dMMR status acts as a main marker for immune checkpoint treatments. Spotting the drop of MLH1, MSH2, MSH6, or PMS2 proteins via IHC gives doctors fast, useful information. This helps with surgery plans and overall treatments.
In various clinical spots, the number of samples for MMR checks has grown rapidly. Hand-done IHC staining brings several issues:
Inconsistency: Differences in soak times, heat levels, and reagent spread can cause uneven stains or wrong negative results.
Labor Intensive: Skilled staff spend long hours on repeated pipetting and rinsing tasks. This raises the chance of mistakes by people.
Delayed TAT: Hand methods often slow down lab flows. They hold up the final pathology report and delay patient care.

To fix these problems, Celnovte offers a full MMR screening package. It mixes diagnostic sharpness with steady machine work.
A solid IHC test starts with good primary antibodies. Celnovte’s MMR set—including MLH1, MSH2, MSH6, and PMS2—is made for high accuracy and strong signals.
Exceptional Sensitivity: Our antibodies are checked to create clear nuclear stains, even in tough samples with few cells.
Minimal Background: With better cleaning methods, Celnovte materials cut out unwanted cell stains. This avoids confusion in reading MMR results.
Optimized for Automation: Each antibody is set up for the Celnovte setup. This means good results come on the first try. It cuts down on extra tests that cost time and money.
The CNT 360 Fully Automated IHC & ISH Stainer serves as the main tool for busy pathology teams. It handles all steps from deparaffinization to final staining.
High Throughput: The CNT 360 works on several slides at once, with separate heat control for each. This lets users add MMR sets anytime, without a full group wait. As a result, wait times drop a lot.
Precise Fluidics: The system uses small-drop tech for an even spread of materials over tissue areas. For MMR sets, this helps tell real protein loss from stain errors.
Quality Control Integration: It records each part of the staining steps. This creates a complete record that fits ISO13485 and other global lab rules.

Tech matters most when it fixes actual issues. Celnovte’s tools fit certain busy clinical spots.
Big hospitals process hundreds of cancer samples each week. The IHC area often becomes the slow point.
Problem: Heavy loads cause grouping of slides. A sample from Monday might wait until Wednesday for staining.
Solution: The CNT 360 supports a steady stream approach in labs. Right after sectioning a CRC sample, it goes into the machine. Automation finishes the four-antibody MMR set with even quality. Pathologists can check it within 24 hours after surgery. This quick check spots possible Lynch syndrome cases soon. It leads to fast links to genetic advice.
Standard frozen sections give fast shape info. But they usually lack deeper details.
Problem: In hard cases where surgery choices depend on tumor traits, waiting 3-5 days for regular IHC won’t work.
Solution: Celnovte’s Fast IHC technology and auto steps speed up staining a great deal. Labs pair the CNT 360 with our special kits for clear MMR outcomes in less time than usual. This supports better choices on surgery size or starting add-on plans right away.

Celnovte backs its quality with strict checks. Side-by-side studies show our MMR antibodies match top global brands at over 98%. Also, in NordiQC (Nordic immunohistochemical Quality Control) reviews, our main clones always score “Optimal.” This confirms our materials hit the top marks for correct diagnoses. Facts indicate that moving from hand to Celnovte auto systems cuts material waste by up to 20%. It also drops staff hands-on time by more than 70%.
Making Lynch Syndrome checks smoother is now essential for current cancer care. When labs pick Celnovte, they gain more than gear or supplies. They join a team focused on top diagnosis work. Our full MMR package—from the exact CNT 360 stainer to our high-affinity antibodies—makes sure no patient falls behind from slow or wrong diagnoses.
Are you ready to elevate your laboratory’s diagnostic capabilities?
Visit our website to explore our full product catalog or contact our technical team today for a customized workflow consultation.
A: The CNT 360 has separate slide heat and step choices. This lets it process varied antibodies and tissues, like CRC and endometrial, at the same time without losing stain quality.
A: Yes. Though set for the CNT 360, our strong primary antibodies come in thick forms that work with most open auto stainers and hand steps.
A: Based on the steps, the CNT 360 finishes a basic MMR IHC run in about 2.5 to 3 hours. This allows reports on key cancer cases the same day.
A: Yes. We offer full on-site training and far-off help to fit our products to your lab’s exact needs and tissue prep ways.