LEF-1(EP310),RMab

LEF-1(EP310),RMab

Lymphatic enhancer factor (LEF-1) belongs to the highly migrating family of components, which plays an important role in cell proliferation, differentiation and apoptosis as a transcription factor-mediated of Wnt signaling pathway in the nucleus of the cell.In chronic lymphocytic leukemia, the high expression of LEF-1 is associated with the development of the disease and adverse prognosis. LEF-1 can be detected the positive exprssion of immunohistochemistry in all malignant cells of chronic lymphocytic leukemia or small lymphocytic lymphocytic lymphocytic disease. LEF-1 had 50% positive expression in follicle lymphoma with high differentiation and 38% positive expression in large B-cell lymphoma,but not in mantle cell lymphoma and marginal zone lymphoma.

Staining Tissue

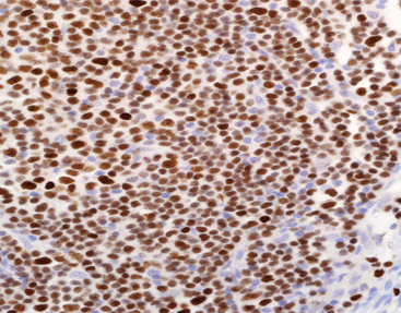
[As Figure shows]

Lymphoma tissue stained with LEF1

[Intended Use]

Lymphatic enhancer factor (LEF-1) belongs to the highly migrating family of components, which plays an important role in cell proliferation, differentiation and apoptosis as a transcription factor-mediated of Wnt signaling pathway in the nucleus of the cell.In chronic lymphocytic leukemia, the high expression of LEF-1 is associated with the development of the disease and adverse prognosis. LEF-1 can be detected the positive exprssion of immunohistochemistry in all malignant cells of chronic lymphocytic leukemia or small lymphocytic lymphocytic lymphocytic disease. LEF-1 had 50% positive expression in follicle lymphoma with high differentiation and 38% positive expression in large B-cell lymphoma,but not in mantle cell lymphoma and marginal zone lymphoma.

 

[Specifications]

Product Name LEF-1(EP310),RMab
Catalog No. CLR-0080
Intended Use IVD, RUO
Species Reactivity Human; others not tested
Cellular Localization Cytoplasm / Nucleus
Antibody Type Rabbit Monoclonal
Clone EP310
Format and Volume Ready-to-use: 1mL, 3mL, 6mL   Concentrated: 0.1mL, 0.2mL and 1mL 

 

[Datasheets & SDS]

IVD Datasheet (IFU) ↕️ Download 
RUO Datasheet (IFU) ↕️ Download 
SDS sheet check with sales 

 

[Storage and Validity]

Store at 2~8°C. Avoid freezing. 
Maintain temperature below room temperature during transport, ensuring it does not exceed one week.

 

Related Product

Get in touch

If you have an inquiry or some feedback for us ,please fill out the form below to contact our team.

top