CD57(NK-1),MMab

CD57(NK-1),MMab

CD57 glycoprotein, also known as NK-1, has a molecular weight of 110kD. CD57 molecules were found in monocytes subpopulations with natural killing activity and in Neuroectodermal cells expressing myelin glycoproteins. Many T cell subsets inhibit the co-expression of CD57 and CD8 proteins by T/ cytotoxic T cells.In plant versus host disease, these cells play a role in graft rejection.The CD57 molecule is not expressed in red blood cells or platelets.

Product Special Description
Pretreatment with enzyme digestion can enhance the staining effect in some cases

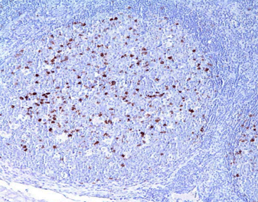
Staining Tissue

[As Figure shows]

Tonsil tissue stained with CD57

[Intended Use]

This antibody is intended for use in Immunohistochemical applications on formalin-fixed paraffin-embedded tissues (FFPE). The clinical interpretation of any staining or its absence should be complemented by morphological studies using proper controls and should be evaluated within the context of the patient’s clinical history and other diagnostic tests by a qualified pathologist.

 

[Specifications]

Product Name CD57(NK-1),MMab
Catalog No. CCM-0670
Intended Use IVD, RUO
Species Reactivity Human; others not tested
Cellular Localization Cytoplasm / Nucleus
Antibody Type Mouse Monoclonal
Clone NK-1
Format and Volume Ready-to-use: 1mL, 3mL, 6mL   Concentrated: 0.1mL, 0.2mL and 1mL 

 

[Datasheets & SDS]

IVD Datasheet (IFU) ↕️ Download 
RUO Datasheet (IFU) ↕️ Download 
SDS sheet check with sales 

 

[Storage and Validity]

Store at 2~8°C. Avoid freezing. 
Maintain temperature below room temperature during transport, ensuring it does not exceed one week.

 

Related Product

Get in touch

If you have an inquiry or some feedback for us ,please fill out the form below to contact our team.

top