PRODUCT CATEGORY


6 Cuizhu St, Zhong Yuan Qu, Zheng Zhou Shi, He Nan Sheng, China, 450001
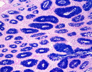
Alcian blue (AB) staining can be combined with PAS staining method to identify neutral and acid mucins in the same tissue section. Normal mucosal epithelial cells can secrete mucus, which is divided into neutral mucus and acid mucus. They cannot be divided in the HE staining but common mucous staining can. Under pathological conditions, organs for example stomach, intestine, connective tissue, myocardium, kidney, as son on, may also have mucous degeneration, mucous edema, and mucin increase, which also requires staining and certification of mucus substances. Mucus staining is often required for observation and identification in the diagnosis and research of some tumors.
Alcian blue (AB) is the most specific dye showing acidic mucus substances. This cationic stain forms the salt linkage combined with acidic groups, that is, Alcian blue forms the insoluble complexes with anionic groups such as carboxyl groups and sulfate groups contained in tissues.
The salt linkage of molecule combine with the negative acid groups of acid polysaccharide material to form an insoluble complex and appear blue, and then complex staining with PAS can show three different mucus substance components.
a)Great Stability
b)Bright Stain Color
Components
|
Name |
Main Composition |
|
|
Alcian Blue Stain |
Alcian Blue |
|
|
Periodic Acid Solution |
Periodic Acid |
|
|
Schiff solution |
Magenta |
|
| Hematoxylin solution |
Hematoxylin |
|
10X
20X