
By admin

Clinical diagnosis is changing in big ways. It moves from just looking at tissue shapes to spotting exact genetic and molecular signs. This change marks molecular diagnostics. The field focuses on finding certain biological pieces—DNA, RNA, and proteins—that show disease, risk, or response to treatment. These strong tests bring very high sharpness and exactness. They allow earlier spotting, better outlook guesses, and real personal medicine. But what basic ideas support these involved tools? This article looks at the scientific heart of molecular diagnostics. It also shows how modern tools and top reagents bring steady outcomes around the world.
Molecular diagnostics rests on spotting nucleic acid strings (DNA or RNA) that serve as key signs. Pathologists and doctors use these ways to find small amounts of genetic material. They spot viral germs or count gene copies tied to tumor growth. The main trouble here is picking out a small target sequence from the huge background of the patient’s own genes. This calls for very sharp and exact test setups.
A main building block for seeing molecular targets right in tissue samples is In Situ Hybridization (ISH). This method works on matching pairs: a marked, single-stranded probe gets built to stick (hybridize) exactly to its matching target string (DNA or RNA) in a cell or tissue slice.
Chromogenic In Situ Hybridization (CISH): Celnovte provides reagents for CISH, which utilizes a chromogenic detection system. Unlike fluorescent methods, CISH produces a colored precipitate visible under a standard brightfield microscope. This allows stable viewing of genetic targets next to usual tissue shapes. CISH is part of Celnovte’s market-leading portfolio of ISH reagents and instruments.

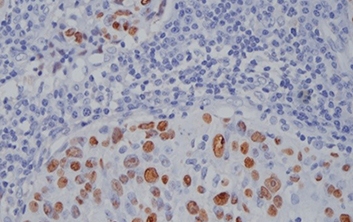
Using CISH in real work proves vital in cancer care, mainly for finding hidden viral infections linked to tumors. A clear case is spotting the Epstein-Barr virus (EBV). This germ often ties to lymph disorders and some cancers.
The common way to prove hidden EBV in tissue slices targets the Epstein-Barr Encoded RNA (EBER) molecule with ISH. Finding EBER RNA stands as a better way to spot hidden EBV than methods that only find EBV proteins (like EBV IHC). This edge comes from the steady high levels of EBER RNA in infected cells. It brings strong diagnostic trust. Choosing EBER ISH matters a lot. It helps avoid missing key signs and leads to correct outcomes.
Celnovte, as a specialist in molecular diagnostic products, offers the necessary components for reliable EBER ISH workflows, including CISH reagents and probes. By providing CISH Probes as part of its molecular solutions, Celnovte supports laboratories in achieving the specificity required to visualize the EBER RNA target directly within the morphological context of the tissue. The molecular portfolio includes CISH products designed to meet the highest standards of sensitivity and specificity necessary for high-stakes pathological decisions.
Molecular test steps, including ISH and CISH work, involve many parts. Handwork can bring changes and mistakes easily. Automation fixes this. It raises the quality and quickness of results. This shifts how pathology labs run day to day.
Automated slide staining counts in today’s pathology. It cuts out the changes that come with hand steps, like shifts in reagent amounts and wait times. By making the flow standard, automation greatly raises the steadiness of molecular test outcomes. This steadiness proves key for the right reading of involved tests like EBER ISH.
Celnovte adds to standard molecular flows with its automated tools. The CNT 360 Full-Automatic IHC & ISH Stainer, launched in 2020, is an all-in-one platform designed for high-throughput capabilities.
Key advantages of the CNT 360 include:
Seamless Workflow Efficiency: The instrument offers a comprehensive solution for both IHC and ISH protocols on a single platform, integrating molecular and immunodiagnostics seamlessly.
Fast Turnaround Time (TAT): The CNT 360 is engineered to provide an unparalleled fast turnaround time, crucial for prompt clinical decision-making.
Guaranteed Optimal Staining: By utilizing ready-to-use reagent kits and meticulously crafted protocols, the CNT 360 ensures consistent, top-tier staining quality. This automation helps deliver accurate, consistent molecular diagnostic results for hospitals and labs worldwide.

Celnovte’s commitment to quality is validated by its rigorous adherence to international standards and its widespread adoption. Our facilities maintain certification for ISO13485 and ISO9001, and are NMPA & GMP compliant. Furthermore, Celnovte has successfully installed over 800 units of fully automated IHC stainers globally since 2018. This shows the trust pathology labs place in our automated tools.
Celnovte Biotech, founded in 2010, specializes in the research, development, manufacturing, and distribution of advanced pathological diagnostic reagents and instruments. Our mission is to elevate precision in cancer diagnostics and enrich patients’ lives through innovative products and services. While our headquarters are in Rockville, MD, for reagent and instrument development, we have established an extensive international pathological network, reaching over 40+ countries worldwide. Our portfolio includes CISH and FISH products designed to meet high standards of specificity and sensitivity.
Molecular diagnostics gives deep views into disease workings at the gene level. It guides treatment plans with exactness. The basic ideas of nucleic acid spotting and hybridization, shown in ways like EBER ISH and backed by top CISH reagents, stand at the heart of this work. By mixing these exact molecular reagents with the steadiness and quickness of modern tools like the CNT 360 Full-Automatic IHC & ISH Stainer, Celnovte helps bring diagnostic excellence worldwide. As tests keep growing, the blend of high-volume automation and strong molecular reagents will stay the main force pushing personal medicine ahead.
A: EBER ISH targets the viral RNA, which is highly expressed in latent EBV infection, making it a more reliable method for detection in these specific cases than techniques targeting viral proteins (IHC).
A: Celnovte’s facilities are NMPA & GMP compliant and are certified for rigorous standards, including ISO13485 and ISO9001.
A: The CNT 360 is an all-in-one, full-automatic IHC & ISH stainer platform designed to execute multiple staining protocols, offering seamless efficiency and integration in the pathology workflow.
A: Automation eliminates human variability, boosts staining consistency and accuracy, and provides high-throughput capabilities, drastically reducing the turnaround time (TAT) for diagnostic results.