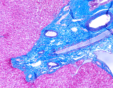
Masson trichrome method is one of the main methods of collagen fiber and myofibril staining, which has an important application in pathological examination.It is mainly utilized to distinguish collagen fiber and myofibrils, and can also be utilized for renopuncture. Addtionally, collagen fiber presents green or blue , but Myofibrils presents red. Thus,masson trichrome stain is also important for judging the precipitation of immune complexes.
Masson trichrome method is one of the main methods of collagen fiber and myofibril staining, which has an important application in pathological examination.It is mainly utilized to distinguish collagen fiber and myofibrils, and can also be utilized for renopuncture. Addtionally, collagen fiber presents green or blue , but Myofibrils presents red. Thus,masson tricolor stain is also important for judging the precipitation of immune complexes.
b)Each reagent component is stable without metal oxide film.
c)Hematoxylin is not affected by storage temperature. After low temperature or freezing, there is no sediment and does not impact the color of staining.
The mix of two or three kinds of anionic dyes are utilized to complete the identification staining. The muscle fibro and cytoplasm are stained by medium-size (acid magenta and ponceau) anionic dye with the size of the anionic dye molecule and the permeability of the tissue.
|
Name |
Storage |
|
|
Solution A Hematoxylin solution |
RT |
|
|
Solution B Ponceau acid magenta staining solution |
RT |
|
|
Solution C Phosphomolybdic acid solution |
RT |
|
|
Counterstaining reagents |
Solution D Aniline Blue Staining Solution |
RT |
|
Solution D Brilliant green solution |
||

