HPL (polyclonal), RPab

HPL (Human Placental Lactogen )is a peptide hormone synthesized by placental nourishing layer cells that can determine ectopic and intrauterine pregnancy in pregnancy products. It is mainly used for the diagnosis and differential diagnosis of nourishing layer cell tumors. It is of some significance in the differential diagnosis of complete and incompletehydatidiformmole(HPL+) and velvet cancer (HPL-).

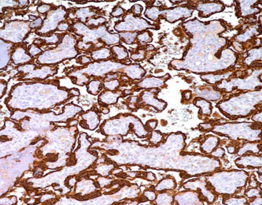
Staining Tissue

[As Figure shows]

Choriocarcinoma tissue stained with HPL

[Intended Use]

HPL (Human Placental Lactogen )is a peptide hormone synthesized by placental nourishing layer cells that can determine ectopic and intrauterine pregnancy in pregnancy products. It is mainly used for the diagnosis and differential diagnosis of nourishing layer cell tumors. It is of some significance in the differential diagnosis of complete and incompletehydatidiformmole(HPL+) and velvet cancer (HPL-).

 

[Specifications]

Product Name HPL (polyclonal), RPab
Catalog No. CHR-0250
Intended Use IVD, RUO
Species Reactivity Human; others not tested
Cellular Localization Cytoplasm / Nucleus
Antibody Type Rabbit Monoclonal
Clone Polyclonal
Format and Volume Ready-to-use: 1mL, 3mL, 6mL   Concentrated: 0.1mL, 0.2mL and 1mL 

 

[Datasheets & SDS]

IVD Datasheet (IFU) ↕️ Download 
RUO Datasheet (IFU) ↕️ Download 
SDS sheet check with sales 

 

[Storage and Validity]

Store at 2~8°C. Avoid freezing. 
Maintain temperature below room temperature during transport, ensuring it does not exceed one week.

 

Related Product

Get in touch

If you have an inquiry or some feedback for us ,please fill out the form below to contact our team.

top