Glial Fibrillary Acidic Protein (GA5), MMab
PRODUCT CATEGORY


6 Cuizhu St, Zhong Yuan Qu, Zheng Zhou Shi, He Nan Sheng, China, 450001
Glial fibrous acid protein (GFAP) is an intermediate silk protein with a molecular weight of 52KD, which is reported to be expressed in glial cells, such as astrocytes and ventricular membrane cells.
In the peripheral nervous system, GFAP is expressed in Sewan's cells, glial cells in the intestines, and the sensory nerve center satellite cells of the human body. In tumor tissue, GFAP is expressed in astrocyte omas and ventricular membrane tumors.
Product Special Description
With GFAP-GA5, the thermal remediation of antigen in some cases can improve staining result.
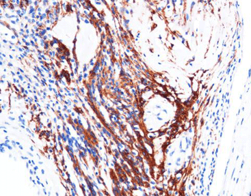
[As Figure shows]
Schwannoma tissue stained with GFAP
[Intended Use]
This antibody is intended for use in Immunohistochemical applications on formalin-fixed paraffin-embedded tissues (FFPE). The clinical interpretation of any staining or its absence should be complemented by morphological studies using proper controls and should be evaluated within the context of the patient’s clinical history and other diagnostic tests by a qualified pathologist.
| Product Name | Glial Fibrillary Acidic Protein (GA5), MMab |
| Catalog No. | CGM-0150 |
| Intended Use | IVD, RUO |
| Species Reactivity | Human; others not tested |
| Cellular Localization | Cytoplasm |
| Antibody Type | Mouse Monoclonal |
| Clone | GA5 |
| Format and Volume | Ready-to-use: 1mL, 3mL, 6mL Concentrated: 0.1mL, 0.2mL and 1mL |
| IVD Datasheet (IFU) | ↕️ Download |
| RUO Datasheet (IFU) | ↕️ Download |
| SDS sheet | check with sales |
Store at 2~8°C. Avoid freezing.
Maintain temperature below room temperature during transport, ensuring it does not exceed one week.