CD79a(C9E27),RMab

The CD79a compound is a disulfide bonded heterozygous dimer that binds noncovalently to membrane-bound immunoglobulin on B cells, a complex of peptides and immunoglobulin that forms the B cell antigen receptor.Two components of the complex were named CD79a and CD79b. The CD79a antigen has been reported to first appear in the preb-cell phase, to mature early and persist into the plasma cell phase, where it is an intracellular component.CD79a antigen has been reported to be expressed in most acute preb-cell leukemia, B cell line, B cell lymphoma, and some myeloma.Not expressed in bone marrow or T cell lines.

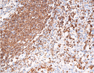
Staining Tissue

[As Figure shows]

Tonsil tissue stained with CD79a(Rabbit)

[Intended Use]

The CD79a compound is a disulfide bonded heterozygous dimer that binds noncovalently to membrane-bound immunoglobulin on B cells, a complex of peptides and immunoglobulin that forms the B cell antigen receptor.Two components of the complex were named CD79a and CD79b. The CD79a antigen has been reported to first appear in the preb-cell phase, to mature early and persist into the plasma cell phase, where it is an intracellular component.CD79a antigen has been reported to be expressed in most acute preb-cell leukemia, B cell line, B cell lymphoma, and some myeloma.Not expressed in bone marrow or T cell lines.

 

[Specifications]

Product Name CD79a(C9E27),RMab
Catalog No. CCR-0732
Intended Use IVD, RUO
Species Reactivity Human; others not tested
Cellular Localization Cytoplasm / Nucleus
Antibody Type Rabbit Monoclonal
Clone C9E27
Format and Volume Ready-to-use: 1mL, 3mL, 6mL   Concentrated: 0.1mL, 0.2mL and 1mL 

 

[Datasheets & SDS]

IVD Datasheet (IFU) ↕️ Download 
RUO Datasheet (IFU) ↕️ Download 
SDS sheet check with sales 

 

[Storage and Validity]

Store at 2~8°C. Avoid freezing. 
Maintain temperature below room temperature during transport, ensuring it does not exceed one week.

 

Related Product

Get in touch

If you have an inquiry or some feedback for us ,please fill out the form below to contact our team.

top