CD68(C2F10),MMab - Celnovte

CD68(C2F10),MMab

CD68 primarily targets macrophages in a variety of tissues, including Kuffer cells in the liver.It is mainly used for the diagnosis of acute and chronic myeloid leukemia and tissue-derived tumors such as malignant fibrohistiocytoma, but it is often detected simultaneously with AACT and Lysozyme to improve its diagnostic accuracy.

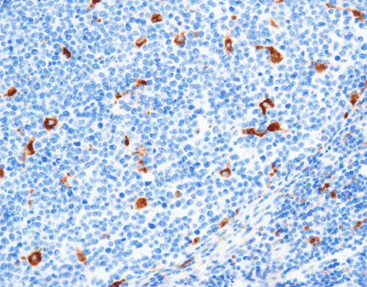
Staining Tissue

[As Figure shows]

Tonsil tissue stained with CD68

[Intended Use]

CD68 primarily targets macrophages in a variety of tissues, including Kuffer cells in the liver.It is mainly used for the diagnosis of acute and chronic myeloid leukemia and tissue-derived tumors such as malignant fibrohistiocytoma, but it is often detected simultaneously with AACT and Lysozyme to improve its diagnostic accuracy.

 

[Specifications]

Product Name CD68(C2F10),MMab
Catalog No. CCM-0701
Intended Use IVD, RUO
Species Reactivity Human; others not tested
Cellular Localization Cytoplasm / Nucleus
Antibody Type Mouse Monoclonal
Clone Kp-1
Format and Volume Ready-to-use: 1mL, 3mL, 6mL   Concentrated: 0.1mL, 0.2mL and 1mL 

 

[Datasheets & SDS]

IVD Datasheet (IFU) ↕️ Download 
RUO Datasheet (IFU) ↕️ Download 
SDS sheet check with sales 

 

[Storage and Validity]

Store at 2~8°C. Avoid freezing. 
Maintain temperature below room temperature during transport, ensuring it does not exceed one week.

 

Related Product

Get in touch

If you have an inquiry or some feedback for us ,please fill out the form below to contact our team.

top