PRODUCT CATEGORY


6 Cuizhu St, Zhong Yuan Qu, Zheng Zhou Shi, He Nan Sheng, China, 450001
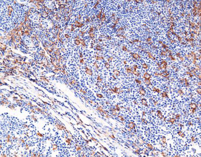
Tonsil tissue stained with CD13
CD13 is expressed in most peripheral monocytes and granulocytes, as well as in most acute myeloid leukemias, chronic myelogenous leukemias, and in a few lymphoid leukemias and bone marrow cell lines.
| Product Name | DOG1(C2E3), MMab |
| Catalog No. | CCR-0411 |
| Intended Use | IVD, RUO |
| Species Reactivity | Human; others not tested |
| Cellular Localization | Cytoplasm / Nucleus |
| Antibody Type | Rabbit Monoclonal |
| Clone | EP117 |
| Format and Volume | Ready-to-use: 1mL, 3mL, 6mL Concentrated: 0.1mL, 0.2mL and 1mL |
| IVD Datasheet (IFU) | ↕️ Download |
| RUO Datasheet (IFU) | ↕️ Download |
| SDS sheet | check with sales |
Store at 2~8°C. Avoid freezing.
Maintain temperature below room temperature during transport, ensuring it does not exceed one week.