Arginase-1(EP261),RMab

Arginase-1 is an enzyme that plays a key role in the liver's urea cycle, helping to convert l-arginine into l-ornithine and urea.Arginase-1 is expressed in liver cells of normal liver tissue, and the positive expression rate is 100% in highly differentiated HCC cells, and 85% in poorly differentiated HCC cells.Rare expression in other tumors.

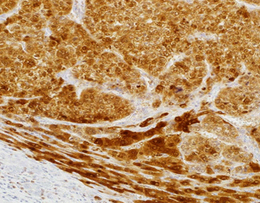
Staining Tissue

[As Figure shows]

Hepatocellular carcinoma tissue stained with Arginase 1

[Intended Use]

Arginase-1 is an enzyme that plays a key role in the liver’s urea cycle, helping to convert l-arginine into l-ornithine and urea.Arginase-1 is expressed in liver cells of normal liver tissue, and the positive expression rate is 100% in highly differentiated HCC cells, and 85% in poorly differentiated HCC cells.Rare expression in other tumors.

 

[Specifications]

Product Name Arginase-1(EP261),RMab
Catalog No. CAR-0231
Intended Use IVD, RUO
Species Reactivity Human; others not tested
Cellular Localization Cytoplasm / Nucleus
Antibody Type Rabbit Monoclonal
Clone EP261
Format and Volume Ready-to-use: 1mL, 3mL, 6mL   Concentrated: 0.1mL, 0.2mL and 1mL 

 

[Datasheets & SDS]

IVD Datasheet (IFU) ↕️ Download 
RUO Datasheet (IFU) ↕️ Download 
SDS sheet check with sales 

 

[Storage and Validity]

Store at 2~8°C. Avoid freezing. 
Maintain temperature below room temperature during transport, ensuring it does not exceed one week.

 

Related Product

Get in touch

If you have an inquiry or some feedback for us ,please fill out the form below to contact our team.

top