PMS2(EP51),RMab
PRODUCT CATEGORY


6 Cuizhu St, Zhong Yuan Qu, Zheng Zhou Shi, He Nan Sheng, China, 450001
PMS2 is a mismatched repair protein with a molecular weight of 90kDa, located on chromosome 7. PMS2 , usually supervises the DNAreplication in human bodies ,andcorrectthebasic"mismatch"or"spellingerror" in order to avoiding a geneticmutation. This gene deficiency is the cause of a small but significant number of colorectal cancers and most tumors associated with microsatellite instability.
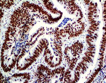
[As Figure shows]
Colon cancer stained with PMS2(Rabbit)
PMS2 is a mismatched repair protein with a molecular weight of 90kDa, located on chromosome 7. PMS2 , usually supervises the DNAreplication in human bodies ,andcorrectthebasic”mismatch”or”spellingerror” in order to avoiding a geneticmutation. This gene deficiency is the cause of a small but significant number of colorectal cancers and most tumors associated with microsatellite instability.
| Product Name | PMS2(EP51),RMab |
| Catalog No. | CPR-0321 |
| Intended Use | IVD, RUO |
| Species Reactivity | Human; others not tested |
| Cellular Localization | Cytoplasm / Nucleus |
| Antibody Type | Rabbit Monoclonal |
| Clone | EP51 |
| Format and Volume | Ready-to-use: 1mL, 3mL, 6mL Concentrated: 0.1mL, 0.2mL and 1mL |
| IVD Datasheet (IFU) | ↕️ Download |
| RUO Datasheet (IFU) | ↕️ Download |
| SDS sheet | check with sales |
Store at 2~8°C. Avoid freezing.
Maintain temperature below room temperature during transport, ensuring it does not exceed one week.