p120(EP66),Rmab

p120(EP66),Rmab

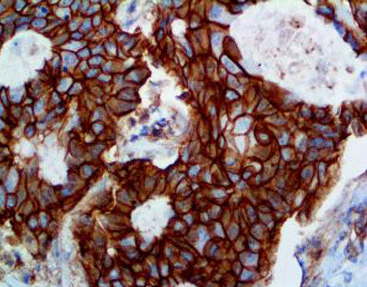
The connecting family includes α-catenin, β-catenin, γ-cateninand P120 Catenin. P120 Catenin P120 Catenin is linked to E-Cadherin in the plasma next to the cell membrane to form a complex that is stable and tightly connected. A lack of E-Cadherin can lead to the accumulation of P120 Catenin in the cytoplasm. Soin lobular carcinoma of breast,a large amount of P120 Catenin in the cytoplasm is shown. However, in ductalcarcinoma of the breast, a small amount of P120Catenin is shown in membrane, not to found the accumulation in the cytoplasm. Therefore, this antibody can be used for the identification of ductal source tumors or lobular source tumors of breast.

Staining Tissue

[As Figure shows]

Breast cancer tissue stained with P120

[Intended Use]

The connecting family includes α-catenin, β-catenin, γ-cateninand P120 Catenin. P120 Catenin P120 Catenin is linked to E-Cadherin in the plasma next to the cell membrane to form a complex that is stable and tightly connected. A lack of E-Cadherin can lead to the accumulation of P120 Catenin in the cytoplasm. Soin lobular carcinoma of breast,a large amount of P120 Catenin in the cytoplasm is shown. However, in ductalcarcinoma of the breast, a small amount of P120Catenin is shown in membrane, not to found the accumulation in the cytoplasm. Therefore, this antibody can be used for the identification of ductal source tumors or lobular source tumors of breast.

 

[Specifications]

Product Name p120(EP66),Rmab
Catalog No. CPR-0181
Intended Use IVD, RUO
Species Reactivity Human; others not tested
Cellular Localization Cytoplasm / Nucleus
Antibody Type Rabbit Monoclonal
Clone EP66
Format and Volume Ready-to-use: 1mL, 3mL, 6mL   Concentrated: 0.1mL, 0.2mL and 1mL 

 

[Datasheets & SDS]

IVD Datasheet (IFU) ↕️ Download 
RUO Datasheet (IFU) ↕️ Download 
SDS sheet check with sales 

 

[Storage and Validity]

Store at 2~8°C. Avoid freezing. 
Maintain temperature below room temperature during transport, ensuring it does not exceed one week.

 

Specification

CODE

 WORKING SOLUTION

CONCENTRATED SOLUTION

CPR-0181

SPECIFICATION

1ml

3ml

6ml

0.1ml

0.2ml

More Info

Clone:  EP66

Source:  Rabbit

Localization:  Cytoplasm/Membrane

Pretreatment : Thermal remediation

Applicable tissue: Paraffin section

Related Product

Get in touch

If you have an inquiry or some feedback for us ,please fill out the form below to contact our team.

top