PRODUCT CATEGORY


6 Cuizhu St, Zhong Yuan Qu, Zheng Zhou Shi, He Nan Sheng, China, 450001
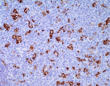
Macrophages are important to the immune system because they affect the cellular's innate immune response.Macrophages are essential in adapting to immunoimmune antigen treatment and secreting soluble factors as well as conducting lymphocytic basic recirculation.
Macrophage tissue stained with Macrophage
Macrophages are important to the immune system because they affect the cellular’s innate immune response.Macrophages are essential in adapting to immunoimmune antigen treatment and secreting soluble factors as well as conducting lymphocytic basic recirculation.
| Product Name | Macrophage(HAM-56),MMab |
| Catalog No. | CMM-0100 |
| Intended Use | IVD, RUO |
| Species Reactivity | Human; others not tested |
| Cellular Localization | Cytoplasm / Nucleus |
| Antibody Type | Mouse Monoclonal |
| Clone | HAM-56 |
| Format and Volume | Ready-to-use: 1mL, 3mL, 6mL Concentrated: 0.1mL, 0.2mL and 1mL |
| IVD Datasheet (IFU) | ↕️ Download |
| RUO Datasheet (IFU) | ↕️ Download |
| SDS sheet | check with sales |
Store at 2~8°C. Avoid freezing.
Maintain temperature below room temperature during transport, ensuring it does not exceed one week.