Fascin(55-K2),MMab

Fascin(55-K2),MMab

Fascin antibody is Reese cells, tuberous sclerosis variants, mixed cell type and Hodgkin's lymphoma disease markers.It is mainly expressed in dendritic cells and is not expressed in lymphocyte bone marrow cells and plasma cells.This marker supports distinguish between Hodgkin's lymphoma and non-hodgkin's lymphoma.

Staining Tissue

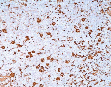
[As Figure shows]

Lymph node tissue stained with Fascin

[Intended Use]

Fascin antibody is Reese cells, tuberous sclerosis variants, mixed cell type and Hodgkin’s lymphoma disease markers.It is mainly expressed in dendritic cells and is not expressed in lymphocyte bone marrow cells and plasma cells.This marker supports distinguish between Hodgkin’s lymphoma and non-hodgkin’s lymphoma.

 

[Specifications]

Product Name Fascin(55-K2),MMab
Catalog No. CFM-0031
Intended Use IVD, RUO
Species Reactivity Human; others not tested
Cellular Localization Cytoplasm / Nucleus
Antibody Type Mouse Monoclonal
Clone 55K-2
Format and Volume Ready-to-use: 1mL, 3mL, 6mL   Concentrated: 0.1mL, 0.2mL and 1mL 

 

[Datasheets & SDS]

IVD Datasheet (IFU) ↕️ Download 
RUO Datasheet (IFU) ↕️ Download 
SDS sheet check with sales 

 

[Storage and Validity]

Store at 2~8°C. Avoid freezing. 
Maintain temperature below room temperature during transport, ensuring it does not exceed one week.

 

Related Product

Get in touch

If you have an inquiry or some feedback for us ,please fill out the form below to contact our team.

top