PRODUCT CATEGORY


6 Cuizhu St, Zhong Yuan Qu, Zheng Zhou Shi, He Nan Sheng, China, 450001
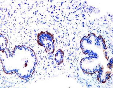
CK34βEl2 cloning reacts with keratin intermediate filament protein of human l 5, 10 and 14. According toresearch report,the antibody reacts with human squamous epithelium, normal skin sweat ducts, partial alveolar cells, bronchial epithelium, normal pulmonary mesothelial cells and normal intrahepatic bile ducts.Additionally,it also reacts with normal pancreatic ductal cells, partial ducts and acinar cells of normal breast, partial follicular epithelial cells of normal thyroid, and partial epithelium and mesothelium of normal large and small intestine.
Nodular hyperplasia of the prostate tissue stained with HMW
CK34βEl2 cloning reacts with keratin intermediate filament protein of human l 5, 10 and 14. According toresearch report,the antibody reacts with human squamous epithelium, normal skin sweat ducts, partial alveolar cells, bronchial epithelium, normal pulmonary mesothelial cells and normal intrahepatic bile ducts.Additionally,it also reacts with normal pancreatic ductal cells, partial ducts and acinar cells of normal breast, partial follicular epithelial cells of normal thyroid, and partial epithelium and mesothelium of normal large and small intestine.
| Product Name | Cytokeratin HMW (34βE12), MMab |
| Catalog No. | CCM-0900 |
| Intended Use | IVD, RUO |
| Species Reactivity | Human; others not tested |
| Cellular Localization | Cytoplasm / Nucleus |
| Antibody Type | Mouse Monoclonal |
| Clone | 34βEl2 |
| Format and Volume | Ready-to-use: 1mL, 3mL, 6mL Concentrated: 0.1mL, 0.2mL and 1mL |
| IVD Datasheet (IFU) | ↕️ Download |
| RUO Datasheet (IFU) | ↕️ Download |
| SDS sheet | check with sales |
Store at 2~8°C. Avoid freezing.
Maintain temperature below room temperature during transport, ensuring it does not exceed one week.