Cytokeratin 5(C9E33),RMab

In normal tissues, Cytokeratin 5 is expressed positive in basal cells of squamous epithelium and ductal epithelium, as well as part of squamous epithelial germinal cells, myoepithelial cells, and mesothelial cells. This Antibody can be used for the differential diagnosis of squamous cell carcinoma and adenocarcinoma, mesothelioma and adenocarcinoma, as well as the differential diagnosis of benign and malignant tumors derived from epithelial cells of the breast, salivary glands and prostate glands.

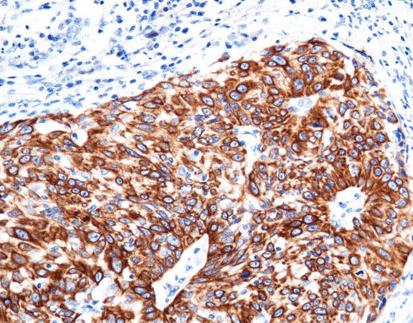
Staining Tissue

[As Figure shows]

Esophagealsquamous cellcarcinoma (ESCC) tissue stained with CK5

[Intended Use]

In normal tissues, Cytokeratin 5 is expressed positive in basal cells of squamous epithelium and ductal epithelium, as well as part of squamous epithelial germinal cells, myoepithelial cells, and mesothelial cells. This Antibody can be used for the differential diagnosis of squamous cell carcinoma and adenocarcinoma, mesothelioma and adenocarcinoma, as well as the differential diagnosis of benign and malignant tumors derived from epithelial cells of the breast, salivary glands and prostate glands.

 

[Specifications]

Product Name Cytokeratin 5(C9E33),RMab
Catalog No. CCR-0973
Intended Use IVD, RUO
Species Reactivity Human; others not tested
Cellular Localization Cytoplasm / Nucleus
Antibody Type Rabbit Monoclonal
Clone C9E33
Format and Volume Ready-to-use: 1mL, 3mL, 6mL   Concentrated: 0.1mL, 0.2mL and 1mL 

 

[Datasheets & SDS]

IVD Datasheet (IFU) ↕️ Download 
RUO Datasheet (IFU) ↕️ Download 
SDS sheet check with sales 

 

[Storage and Validity]

Store at 2~8°C. Avoid freezing. 
Maintain temperature below room temperature during transport, ensuring it does not exceed one week.

 

Related Product

Get in touch

If you have an inquiry or some feedback for us ,please fill out the form below to contact our team.

top