Phone
Email
Address
6 Cuizhu St, Zhong Yuan Qu, Zheng Zhou Shi, He Nan Sheng, China, 450001
CD7 is a 40kDa membrane-bound protein that is the earliest specific expression of an antigen in T lymphocytes, and the only early marker in the whole process of T cell differentiation. This antibody can be used to detect normal T cells in humans, as well as to classify lymphomas and leukemias.
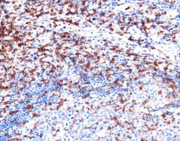
[As Figure shows]
Tonsil tissue stained with CD7(Mouse)
CD7 is a 40kDa membrane-bound protein that is the earliest specific expression of an antigen in T lymphocytes, and the only early marker in the whole process of T cell differentiation. This antibody can be used to detect normal T cells in humans, as well as to classify lymphomas and leukemias.
| Product Name | CD7(MRQ-56),MMab |
| Catalog No. | CCM-0362 |
| Intended Use | IVD, RUO |
| Species Reactivity | Human; others not tested |
| Cellular Localization | Cytoplasm / Nucleus |
| Antibody Type | Mouse Monoclonal |
| Clone | MRQ-56 |
| Format and Volume | Ready-to-use: 1mL, 3mL, 6mL Concentrated: 0.1mL, 0.2mL and 1mL |
| IVD Datasheet (IFU) | ↕️ Download |
| RUO Datasheet (IFU) | ↕️ Download |
| SDS sheet | check with sales |
Store at 2~8°C. Avoid freezing.
Maintain temperature below room temperature during transport, ensuring it does not exceed one week.