CD35(EP197),RMab

CD35 antigen is also called CR1 or C3b/C4bR, is a kind of combined with complement C3b and C4b transmembrane proteins.CD35 is engulfed by C3 and C4b mediated phagocytosis by neutrophils and monocytes. The CD35 antigen inhibits complement activation by both classical and bypass pathways.CD35 antigens have been reported to be expressed in erythrocytes, neutrophils, eosinophils, and follicular dendritic cells.

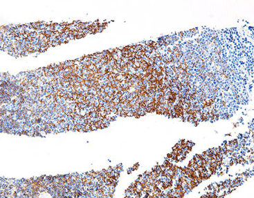
Staining Tissue

[As Figure shows]

Tonsil tissue stained with CD35 (Rabbit)

[Intended Use]

CD35 antigen is also called CR1 or C3b/C4bR, is a kind of combined with complement C3b and C4b transmembrane proteins.CD35 is engulfed by C3 and C4b mediated phagocytosis by neutrophils and monocytes. The CD35 antigen inhibits complement activation by both classical and bypass pathways.CD35 antigens have been reported to be expressed in erythrocytes, neutrophils, eosinophils, and follicular dendritic cells.

 

[Specifications]

Product Name CD35(EP197),RMab
Catalog No. CCR-0561
Intended Use IVD, RUO
Species Reactivity Human; others not tested
Cellular Localization Cytoplasm / Nucleus
Antibody Type Rabbit Monoclonal
Clone EP197
Format and Volume Ready-to-use: 1mL, 3mL, 6mL   Concentrated: 0.1mL, 0.2mL and 1mL 

 

[Datasheets & SDS]

IVD Datasheet (IFU) ↕️ Download 
RUO Datasheet (IFU) ↕️ Download 
SDS sheet check with sales 

 

[Storage and Validity]

Store at 2~8°C. Avoid freezing. 
Maintain temperature below room temperature during transport, ensuring it does not exceed one week.

 

Related Product

Get in touch

If you have an inquiry or some feedback for us ,please fill out the form below to contact our team.

top