CD21(EP64), RMab

CD21, also known as Ⅱ complement receptor and EB virus receptors, complement activation regulator is a member of the family. They are mainly distributed in mature B cells, dendritic cells in lymphatic follicles and some T cells.The function of CD21 promotes the proliferation of B cells, mediates the transformation of EBV into B cells, and CD21 is involved in immune memory.It is mainly used for the diagnosis of follicular dendritic cells and their tumors and the study of the regulation of immune complement activation.

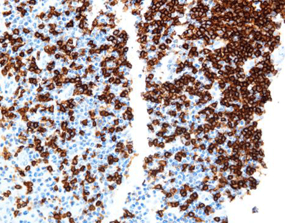
Staining Tissue

[As Figure shows]

Tonsil tissue stained with CD21(Rabbit)

 

[Intended Use]

This antibody is intended for use in Immunohistochemical applications on formalin-fixed paraffin-embedded tissues (FFPE). The clinical interpretation of any staining or its absence should be complemented by morphological studies using proper controls and should be evaluated within the context of the patient’s clinical history and other diagnostic tests by a qualified pathologist.

 

[Specifications]

Product Name CD21(EP64), RMab
Catalog No. CCR-0471
Intended Use IVD, RUO
Species Reactivity Human; others not tested
Cellular Localization Membrane
Antibody Type Rabbit Monoclonal
Clone EP64
Format and Volume Ready-to-use: 1mL, 3mL, 6mL   Concentrated: 0.1mL, 0.2mL and 1mL 

 

[Datasheets & SDS]

IVD Datasheet (IFU) ↕️ Download 
RUO Datasheet (IFU) ↕️ Download 
SDS sheet check with sales 

 

[Storage and Validity]

Store at 2~8°C. Avoid freezing. 
Maintain temperature below room temperature during transport, ensuring it does not exceed one week.

 

Related Product

Get in touch

If you have an inquiry or some feedback for us ,please fill out the form below to contact our team.

top