Calretinin(polyclonal),RPab

Calretinin(polyclonal),RPab

CR is an intracellular calcium-binding protein that belongs to the troponin c-superfamily.It is mainly used for the diagnosis of mesothelioma, especially epithelial mesothelioma, with sensitivity up to 100% and specificity up to 50%, and also for the study of neurological diseases.

Staining Tissue

[As Figure shows]

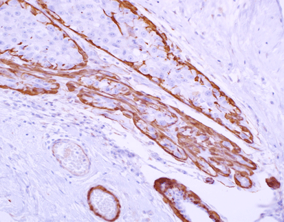
Mesothelioma tissue stained with Calretinin/CR

[Intended Use]

CR is an intracellular calcium-binding protein that belongs to the troponin c-superfamily.It is mainly used for the diagnosis of mesothelioma, especially epithelial mesothelioma, with sensitivity up to 100% and specificity up to 50%, and also for the study of neurological diseases.

 

[Specifications]

Product Name Calretinin(polyclonal),RPab
Catalog No. CCR-0221
Intended Use IVD, RUO
Species Reactivity Human; others not tested
Cellular Localization Cytoplasm / Nucleus
Antibody Type Rabbit Monoclonal
Clone Polyclonal
Format and Volume Ready-to-use: 1mL, 3mL, 6mL   Concentrated: 0.1mL, 0.2mL and 1mL 

 

[Datasheets & SDS]

IVD Datasheet (IFU) ↕️ Download 
RUO Datasheet (IFU) ↕️ Download 
SDS sheet check with sales 

 

[Storage and Validity]

Store at 2~8°C. Avoid freezing. 
Maintain temperature below room temperature during transport, ensuring it does not exceed one week.

 

Related Product

Get in touch

If you have an inquiry or some feedback for us ,please fill out the form below to contact our team.

top